Fill out the form to connect with our legal team for a free consultation, we’ll respond within 1 hour during business hours. Or call us 24/7 at (800) 400-8182.


.avif)
The femur, located in the thigh or upper leg and extending from hip to knee, is one of the strongest and largest bones in the body. Due to its strength, the femur is difficult to fracture and requires significant force to injure. The most common causes of femur fracture include vehicle accidents and falls from height. Patients with illnesses such as tumor, infection, or osteoporosis may be at an increased risk for femur fracture because of weakened bones. In such cases, a fracture is known as a pathological femur fracture.
Please read on to learn more about the types of femur fractures, the symptoms of a fracture, diagnosing femur fracture, and how such a fracture is treated.
Proximal Femur Fractures (also known as hip fractures) occur at the upper part of the femur, adjacent to the hip joint.
Femoral shaft fractures are considered severe injuries and often occur in high-speed vehicle accidents or serious falls. These femur fractures are often accompanied by additional injuries, due to the severity of the injury. This type of femur fracture is almost always treated through surgery. Most commonly, this surgery will involve inserting a metal rod, called the intramedullary rod, into the center of the femur. This rod connects the two ends of the bone and is secured by screws. This rod may be permanent or removed at a later time.
In some cases where a rod is not an ideal method of treatment, an external fixator will be used to stabilize the bone.

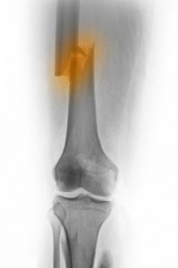
Supracondylar femur fractures are a less common type of femur fracture that affect the end of the femur located near the knee (see knee injuries for more details). This type of femur fracture is typically accompanied by damage to the cartilaginous surface of the knee joint. Supracondylar femur fractures are also commonly associated with the subsequent development of arthritis in the knee. All of this must be taken into consideration when determining the best treatment strategy.
Treatment for supracondylar femur fractures may include use of a cast or brace, use of an external fixator, or surgical insertion of plates, screws or rods to stabilize the bone and allow for healing.
This type of fracture is more common in patients with osteoporosis, a past knee replacement surgery, or those who have been injured in a high-energy accident.
Regardless of the type of fracture sustained, the common symptoms of femur fracture include:
To diagnose a femur fracture a doctor will typically perform a physical examination and order x-rays or other diagnostic tests to determine the nature and extent of the injury. Repeat x-rays may also be ordered to oversee the healing process.
During treatment and recovery of a femur fracture, a patient will often have his or her activities significantly restricted. This may include being unable to walk on the leg at all or using assistive devices such as crutches. When a doctor determines it appropriate, special rehabilitative x-rays may be ordered to help increase strength, range of motion, and stability in the affected area.
A femur fracture can affect a person long-term depending on the severity of the injury. The physical, financial, and emotional stress associated with this type of injury can last for days, if not weeks, following the original incident. In addition to the medical care necessary to repair a femur fracture, any other physical therapy and/or pain medication prescribed can continue for weeks. This means that medical bills will continue to accrue without even a guarantee that the pain will subside for good. You might miss time from work and a loss of quality of life due to your injury.
You need an attorney who is experienced in handing personal injury cases and will fight for the compensation owed to you. If you or a loved one has suffered a femur fracture or orthopedic injury of any kind as a result of another person's negligence, contact our office for a free consultation. We care about seeing justice served and we are here to help.








If there is potential compensation available that could ease your financial burden and aid in your recovery, you need to seek it.
Contact the Oshman Firm today at (800) 400-8182 or by using the form on this page for a free, no-obligation consultation to discuss your case.
